




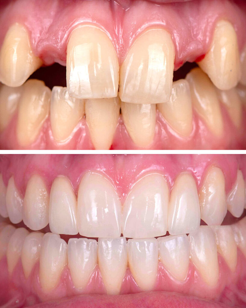
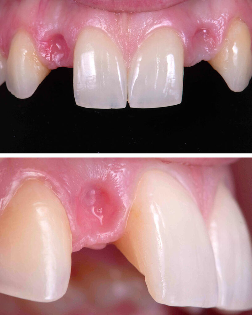
Repousser les limites de l’adhésion pour une solution esthétique et conservatrice.
Inscrivez-vous à notre newsletter pour être informé des sessions à venir !
Cours complet (Historique, indication, contre-indication, description et choix du matériaux, biomécanique, communication préalable avec l’orthodontiste, principes de mise en œuvre, ovalisation crestale préalable, préparation, communication avec le laboratoire de prothèse, collage, et suivi post-opératoire).
Démonstration sur patients (2 à 3 cas cliniques à des étapes différentes) : préparation et pose, préparation gingivale…
Inscrivez-vous à notre newsletter pour être informé des sessions à venir !
mais aussi :
Présentiel
Inscrivez-vous à notre newsletter pour être informé des sessions à venir !
Inscrivez-vous à notre newsletter pour être informé des sessions à venir !
Être installé en tant que chirurgiens dentiste, être étudiant en chirurgie dentaire, technicien de laboratoire ou assistante dentaire.
Accessibilité aux personnes en situation d’handicap : nous contacter.
Inscription possible jusque 15j avant la date de la formation, dans la limite des places disponibles.
Inscrivez-vous à notre newsletter pour être informé des sessions à venir !





Colibri Le Mans
26 rue des Arènes, 72000 Le Mans
Un cabinet fraîchement rénové, avec tout l’équipement de dernière génération nécessaire à la mise en oeuvre d’une dentisterie biomimétique.
Horaires
Les journées de formation ont lieu de 9h à 12h30 et de 13h30 à 17h30, avec un accueil des participants dès 8h30. Le repas et les collations sont compris dans le tarif de formation.
Accès
Tramway : Ligne T2 arrêt Comtes du Maine ou Jacobins
Facilité de stationnement sur le parking aérien des Quinconces (2 minutes à pied)
Des solutions d’hébergement vous sont proposées pour organiser votre séjour.
Hôtel Leprince
5 allée Leprince d’Ardenay, 72000 Le Mans
Un établissement chic au cœur d’un ancien couvent, en hyper centre-ville.
https://www.leprince-hotel-spa.com/
L’Hôtel Particulier
17 rue Montauban, 72000 Le Mans
Une très jolie chambre d’hôtes confortable et au calme, à quelques minutes à pied du cabinet.
https://lhotel-particulier-lemans.fr/
Hôtel Mercure
19 rue Chanzy, 72000 Le Mans
Un standard joliment revisité, entre le cabinet et la gare.
https://all.accor.com/hotel/5641




Colibri Malo les Bains (Dunkerque)
17 place Turenne, 59240 Dunkerque
Un cabinet avec de beaux espaces lumineux et tout l’équipement de dernière génération nécessaire à la mise en oeuvre d’une dentisterie biomimétique.
Horaires
Les journées de formation ont lieu de 9h à 12h30 et de 13h30 à 17h30, avec un accueil des participants dès 8h30. Le repas et les collations sont compris dans le tarif de formation.
Accès
Bus : Ligne C3, arrêt Turenne
Stationnement gratuit sur la place Turenne
Des solutions d’hébergement vous sont proposées pour organiser votre séjour.
Hôtel Merveilleux
côté Mer, 77 digue de mer, 59240 Dunkerque
Une adresse raffinée avec vue imprenable sur la mer !
https://hotelmerveilleux.com/
Inscrivez-vous à notre newsletter pour être informé des sessions à venir !
Un grand merci pour cette journée, c’était hyper motivant et ça nous rappelle poruquoi notre métier est si beau…
Laurence
Ce que j’ai vraiment préféré c’est l’application clinique avec le patient qui vient au cabinet et où on voit vraiment toutes les étapes de réalisation.
Dr Maud DUJON
Effectivement, la demo live, elle est incroyable parce qu’on a vraiment en temps réel ce qu’on peut vraiment appliquer et ce qu’on n’a pas forcément en théorie dans les différentes conférences auxquelles on peut assister.
Dr Caroline LEVERD
Avoir le protocole complet, et l’avoir vu en vrai, c’est ce qui va permettre de le remettre plus facilement en place au cabinet.
Dr Joséphine PAGANINI
Le meilleur moment ? Le super sourire du petit patient qui vient de partir et qui était presque à se mettre à pleurer parce que je pense qu’il avait un énorme complexe et là en fait on a la résolution du problème et c’était super chou à voir, c’est impressionnant.
Dr Elisa MORELLE
Parce qu’il n’y a pas de meilleur avis que celui de ceux qui l’ont vécu, découvrez les retours de ceux qui ont rejoint l’aventure Colibri. Entre passion clinique, partage et belles rencontres.
Diplômé de la faculté de chirurgie dentaire de Lille en 2000, Ancien attaché Hospitalo Universitaire, il exerce en pratique libérale à Lille depuis 1999 puis à Dunkerque depuis 2002, avec une pratique orientée en Dentisterie Adhésive, Esthétique et Conservatrice.
Membre GRF (auprès des Drs Gil Tirlet et JP Attal) et BioTeam Paris, il est également titulaire depuis 2016 du Diplôme Universitaire d’Esthétique du Sourire (Drs Serfaty, Toledano et Etienne). Il a participé en temps qu’orateur à de très nombreuses conférences sur le thème de la Dentisterie Biomimétique, Esthétique et Adhésive en France et en Belgique (Congrès ADF, SMD, Mimesis, CREPO, JODE, ONFOCs…) et a participé à la rédaction d’articles et d’ouvrages sur ces mêmes thèmes (Clinic, QDRP, RFOP..). Il est également passionné de photographie en général et de glisse depuis toujours. Son cabinet est situé sur la belle place Turenne à Malo Les Bains, à quelques centaines de mètres de la plage ou il fit ses premiers bords en kite surf il y a plus de 20 ans. Le Dr Leroux est par ailleurs membre du groupe international Bio-émulation.
Diplômée de la faculté de chirurgie dentaire de Nantes en 2007, elle exerce en pratique libérale depuis 2008, avec une pratique orientée exclusivement en Dentisterie Adhésive, Esthétique et Conservatrice.
Membre GRF (auprès des Drs Gil Tirlet et JP Attal) et BioTeam Paris, elle est également titulaire depuis 2015 du Diplôme Universitaire d’Esthétique du Sourire (Drs Serfaty, Toledano et Etienne). Ellea participé en temps qu’oratrice à de très nombreuses conférences sur le thème de la Dentisterie Biomimétique, Esthétique et Adhésive en France et en Belgique (Congrès ADF, SMD, Mimesis, SFOP,CREPO, SFJODE, ADFOCs…) et a participé à la rédaction d’articles et d’ouvrages sur ces mêmes thèmes (ID, Clinic, QDRP, RFOP…). Passionnée non seulement par les dents mais aussi par l’Art et le beau en général, épicurienne convaincue et musicienne à ses heures perdues, son cabinet est situé au Mans, capitale du sport automobile.